Periodontal Care

Periodontal Care focuses on keeping your gums and supporting bone healthy to prevent and treat gum disease. Through professional cleanings, deep scaling, root planing, and personalised home-care guidance, it helps control infection, stop bleeding or swollen gums, protect the bone around teeth, and lower the risk of tooth loss and related health problems.
Service Image
Types of Periodontal Care Treatment We Offer
Teeth Cleaning
Teeth Cleaning
Removes plaque and tartar to maintain healthy gums and prevent disease. Recommended every 6 months.
Ultrasonic Teeth Cleaning
Ultrasonic Teeth Cleaning
Advanced vibration and water-jet tools quickly remove tough calculus and bacteria below the gum line.
Gum Surgery
Gum Surgeries
Restores gum health by removing diseased tissue or reshaping for easier cleaning and esthetics. Includes pocket reduction, grafts, and crown lengthening.
Gums Depigmentation
Gums Depigmentation with Laser
Lightens dark spots or patches on gums for a natural, healthy-looking pink smile using safe, advanced laser technology.
Flap Surgery
Flap Surgeries
Lifts the gum to access and thoroughly clean infected roots, then repositions for a snug, healthy fit.
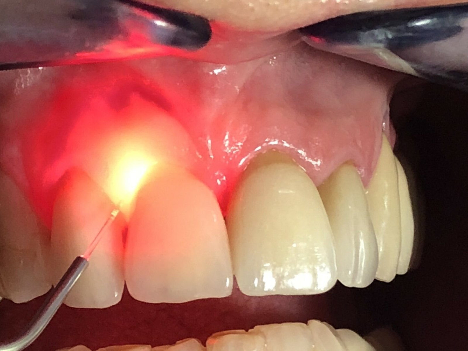
Laser Bacterial Reduction
Laser Bacterial Reduction
Uses laser energy to safely target and kill bacteria in gum pockets, promoting healing and reducing infection risk.